MEDICAL TREATMENT

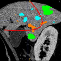
Risk Maps

Risk maps for liver surgery (2013)

Hansen, Christian and Zidowitz, Stephan and Ritter, Felix and Lange, Christoph and Oldhafer, Karl and Hahn, Horst K

jcars, vol. 8 (3): 419–428

Source domain
Target domain
Cartography map
Intra-operative display of risk areas

Use of the Resection Map system as guidance during hepatectomy (2010)

Lamata, Pablo and Lamata, Félix and Sojar, Valentin and Makowski, Piotr and Massoptier, Laurent and Casciaro, Sergio and others

Surgical endoscopy, vol. 24 (9): 2327–2337

Source domain
Target domain
Cartography map
Intra-operative display of risk areas