MEDICAL TREATMENT

Virtual Resection

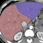
A collaborative virtual reality environment for liver surgery planning (2021)

Chheang, Vuthea and Saalfeld, Patrick and Joeres, Fabian and Boedecker, Christian and Huber, Tobias and Huettl, Florentine and Lang, Hauke and Preim, Bernhard and Hansen, Christian

Computers & Graphics, vol. 99: 234–246

Source domain
Target domain
Therapy and (liver) surgery planning, medical education
Resection (surgery), Drawing

Virtual resection with a deformable cutting plane (2004)

Konrad-Verse, Olaf and Littmann, Arne and Preim, Bernhard

Proc. of Simulation and Visualization, 203–214

Source domain
Target domain
Therapy and (liver) surgery planning, medical education
Resection (surgery), Drawing

Impact of virtual tumor resection and computer-assisted risk analysis on operation planning and intraoperative strategy in major hepatic resection (2005)

Lang, Hauke and Radtke, Arnold and Hindennach, Milo and Schroeder, Tobias and Frühauf, Nils R and Malagó, Massimo and others

Archives of surgery, vol. 140 (7): 629–638

Source domain
Target domain
Therapy and (liver) surgery planning, medical education
Resection (surgery), Drawing

Virtual reality applied to hepatic surgery simulation: the next revolution (1998)

Marescaux, Jacques and Clément, Jean-Marie and Tassetti, Vincent and Koehl, Christophe and Cotin, Stéphane and Russier, Yves and Mutter, Didier and Delingette, Hervé and Ayache, Nicholas

Annals of surgery, vol. 228 (5): 627–634

Source domain
Target domain
Therapy and (liver) surgery planning, medical education
Resection (surgery), Drawing

Venous reconstruction based on virtual liver resection to avoid congestion in the liver remnant (2011)

Mise, Y and Hasegawa, K and Satou, S and Aoki, T and Beck, Y and Sugawara, Y and Makuuchi, M and Kokudo, N

Journal of British Surgery, vol. 98 (12): 1742–1751

Source domain
Target domain
Therapy and (liver) surgery planning, medical education
Resection (surgery), Drawing

Preoperative hepatic 3D models: virtual liver resection using three-dimensional imaging technique (2005)

Numminen, Kirsti and Sipilä, Outi and Mäkisalo, Heikki

European journal of radiology, vol. 56 (2): 179–184

Source domain
Target domain
Therapy and (liver) surgery planning, medical education
Resection (surgery), Drawing

Virtual liver resection and volumetric analysis of the future liver remnant using open source image processing software (2010)

van der Vorst, Joost R and van Dam, Ronald M and van Stiphout, Rogier SA and van den Broek, Maartje A and Hollander, Ilona H and Kessels, Alfons GH and Dejong, Cornelis HC

World journal of surgery, vol. 34 (10): 2426–2433

Source domain
Target domain
Therapy and (liver) surgery planning, medical education
Resection (surgery), Drawing

Virtual hepatic resection using three-dimensional reconstruction of helical computed tomography angioportograms (2001)

Wigmore, Stephen J and Redhead, Doris N and Yan, Xue J and Casey, John and Madhavan, Krishnakumar and Dejong, Cornelis HC and Currie, Elspeth J and Garden, O James

Annals of surgery, vol. 233 (2): 221–226

Source domain
Target domain
Therapy and (liver) surgery planning, medical education
Resection (surgery), Drawing